Россия, Новосибирск, Сибревкома
Телефон:
+7 (383) 207-55- Показать номер
Пн-пт: 09:00—21:00; сб: 09:00—20:00
whatsapp telegram vk email

Перелом костей предплечья

Основные проявления

Клиническая картина отличается при разных видах переломов. Если травмирован верхний отдел предплечья, наблюдается ограничение функций в локтевом суставе. При повреждении нижней части – утруднены движения кистью. Но в то же время существуют общие симптомы, которые характерны для всех видов переломов. Основные из них представлены ниже:

  • боль в месте пе релома достигает максимума в момент травмы, в дальнейшем имеет тупой, ноющий характер;
  • любые движения поврежденной конечностью сопровождаются усилением боли;
  • визуально заметна деформация предплечья. Если отломки сместились по длине, наблюдается укорочение конечности. В некоторых случаях фрагменты кости выпирают наружу, в месте перелома образуется выпячивание;
  • отек может распространяться на все предплечье;
  • при закрытых повреждениях вследствие разрыва сосудов возникают подкожные кровоизлияния, синяки, если же перелом открытый, наблюдается кровотечение;
  • движения в руке резко ограничены, пациент придерживает конечность за локоть или запястье;
  • осевая нагрузка (поколачивание) на основание ладони или локтевой отросток приносит резкую боль в месте перелома.

Перелом проксимального отдела предплечья

Травма локтевого и венечного отростка локтевой кости, также головки лучевой кости имеет похожую клиническую картину. Определить, какая из структур повреждена, без рентгенологического исследования сложно. Для переломов всех вышеупомянутых структур характерна болезненность в локтевом суставе. Он увеличен в размерах, отекший, под кожей возникают кровоизлияния. Возможно накопление крови в суставной сумке, в медицине данное явление называется гемартрозом.

Движения в локтевом суставе практически отсутствуют, попытки согнуть или разогнуть конечность сопровождаются усилением боли. При пальпации могут определяться осколки, нарушения структуры костей, так как кожа в этом месте тонкая и отростки легко прощупать. Характерным симптомом повреждения локтевого отростка является нарушение треугольника Гютера. В норме он равнобедренный и углы образуют оба мыщелка плечевой кости и локтевой отросток.

Перелом диафиза лучевой и локтевой кости

Повреждение средней части предплечья возникает вследствие нарушения целостности тела локтевой, лучевой кости или обеих сразу. На первый план выступают боль, припухлость, кровоизлияния в месте повреждения. Резко ограничивается пронация и супинация руки (вращательные движения предплечьем внутрь и наружу). Определить наличие повреждения не всегда удается, так как кости в средней части расположены под слоем мышц. При переломе со смещением может наблюдаться укорочение конечности.

Перелом дистального отдела предплечья

В нижней части головка и шиловидные отростки локтевой и лучевой кости образуют сустав с запястьем. Потому при повреждении этих структур ограничиваются движения в лучезапястном суставе.

Среди травм нижней части предплечья самым распространенным является перелом лучевой кости в типичном месте. Линия повреждения располагается на несколько сантиметров выше сустава – в самом тонком месте лучевой кости. Именно в этом месте наиболее часто встречаются повреждения, отсюда и название. Выделяют два основных вида травм:

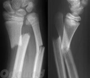
  • перелом Смита возникает вследствие падения на согнутую в лучезапястном суставе конечность. Как результат, образуются два отломка: нижний (дистальный) смещается назад и в сторону, верхний – вперед. В некоторых случаях параллельно возникает повреждение шиловидного отростка локтевой кости;
  • при переломе Коллеса человек падает на разогнутую в лучезапястном суставе руку. Нижний отломок смещается кпереди и немного латерально (вбок). Движения в суставе ограничены, в месте травмы возникает отек, покраснение, могут прощупываться отломки кости.

Лечение

Сломанную руку восстанавливают различными способами. При необходимости вправляют кости и собирают осколки. Далее конечность обездвиживают. Каким образом проводят иммобилизацию предплечья? Если больному наложили шину до приезда в травматологию, то врач удаляет временный фиксатор и осуществляет наложение шины Крамера. Такое шинирование привлекает тем, что обездвиживает руку практически по всей длине.

Наложение лестничной шины на верхнюю конечностьНаложение лестничной шины на верхнюю конечность

Шина Крамера показана при травмах с вывихами и обширным повреждением мягких тканей. Техника наложения шины Крамера при переломе руки предусматривает:

  • лестничную конструкцию прокладывают ватой и забинтовывают,
  • подготовленную шину моделируют по здоровой руке, сгибая в нужных местах,
  • при переломе костей предплечья лестничная шина накладывается в физиологическом положении,
  • конструкцию фиксируют иммобилизирующей повязкой, предварительно подложив в подмышечную впадину ватный валик.

Лечить непосредственно руку более не требуется. Ее не трогают до сращения элементов. Также лечение переломов предплечья подразумевает наложение гипса или полимерных повязок. Они удерживают руку в правильном положении и способствуют физиологическому сращению тканей. С помощью гипсовой иммобилизации удается полностью обездвижить руку в области лучезапястного сустава. Заменить гипсовые повязки при переломе способны плечевые ортезы. Эластичный бандаж не препятствует кровообращению и при этом ограничивает подвижность сустава. Но при осложненных ранениях его не используют.

Многофрагментарные переломы подразумевают смещение суставного фрагмента. В этом случае предпочтительны малоинвазивные техники остеосинтеза при оперативном лечении переломов диафиза плеча. Репозиции элементов в случае осколочных ранений осуществляются исключительно хирургическим путем.

Оперативное лечение

Если не удается вправить перелом костей предплечья консервативным методом, прибегают к операции. Абсолютными показаниями к оперативному лечению перелома костей являются:

  • открытые ранения,
  • перелом костей предплечья со значительным смещением,
  • повреждения сосудов, нервных волокон,
  • одновременное повреждение левого и правого предплечья.

От силы удара зависят ротационные смещения. Они возникают по причине обламывания верхней трети лучевой кости и повреждения мышц супинаторов. Если кость смещается, требуется именно хирургическая репозиция. При переломе плечевой кости и костей предплечья репозицию следует начинать с соединения отломков. В этом случае нередко используются костные мембраны. Их назначение – нарастить отсутствующую костную ткань. После репозиции шансы на то, что кости срастутся правильно, повышаются.

Операция может длиться долго, а постоперационный период нередко сопряжен с повышенным дискомфортом. Так, возникают ноющие боли после операции перелома шейки предплечья. После хирургического восстановления головки и шейки лучевой кости в закрытой репозиции приступают к наложению гипса. В случае закрепления костей металлическими пластинами дополнительное обездвиживание не требуется.

Перелом глазницы

Сколько лечиться и носить гипс

Срок срастания перелома обычно составляет 1,5-2 месяца. В случае перелома локтевого отростка гипс оставляют на 3 недели. Исключить подвижность отломков и резкие движения удается с помощью съемных бандажей. Но их используют лишь в том случае, если первый этап сращения прошел без последствий.

На всем протяжении лечения происходящие изменения контролируют с помощью рентгенографии. Снимки делают на 14 и 28 день. Иногда гипс оставляют на 4 недели при переломе без смещений и дополнительных повреждений. В случае осколочного ранения пациент может носить иммобилизующую повязку дольше.

Признаки перелома предплечья

При получении перелома предплечья симптомы напоминают признаки всех аналогичных травм. Однако каждая разновидность характеризуется определенными особенностями.

К основным проявлениям нарушения относят следующее:

  1. Выраженный болевой синдром в поврежденной области. Он многократно увеличивается при давлении на травмированный участок. Дискомфорт обусловлен нарушением целостности надкостницы и поражения близлежащих тканей. При поражении проксимального эпифиза лучевой кости возникает выраженное нарастание боли при сгибании конечности. Такая же картина наблюдается при поражении венечного отростка. Если поврежден локтевой отросток, дискомфорт нарастает при попытках совершить любое движение. В случае диафизарных переломов боль нарастает при компрессии предплечья с боков. А также к ней приводит осевая нагрузка.
  2. Гиперемия и отеки в районе травмы. Переломы костей сопровождаются местным воспалением. Этот процесс сопровождается появлением отеков и локальным увеличением температуры. При повреждении венечного отростка практически всегда возникает гематома в районе локтевой ямки. Ее появление обусловлено повреждением сосудов в этой области.
  3. Аномальная подвижность. Этот признак свидетельствует о переломе. Однако его должен подтверждать только опытный врач. При смещении костных отломков есть риск поражения близлежащих тканей.
  4. Крепитация. Под этим термином понимают появление хруста в зоне аномальной подвижности. Этот признак тоже должен определять специалист.
  5. Укорочение конечности. Такой симптом появляется при сочетании перелома лучевой и локтевой костей. А также он характерен для переломов Галеацци и Монтеджа.

Перелом предплечья со смещением и без

С учетом степени сложности травматическое повреждение может сопровождаться смещением или быть без него. Наибольшую опасность для здоровья представляет травма, которая сопровождается смещением.

Костные элементы способны привести к поражению нервных корешков или сосудов. Характерной особенностью такого перелома считается укорочение одной конечности по сравнению со второй. При этом можно увидеть ее деформацию в локте.

Диафизарный перелом локтевой кости

Механизм повреждения – прямой удар по предплечью. При обследовании пациента с переломом локтевой кости выявляется отек, деформация, резкие боли при прощупывании, осевой нагрузке и сдавлении предплечья с боков. Движения ограничены. При переломе локтевой кости без смещения травматолог фиксирует согнутое предплечье на 4-6 недели. Лонгетой обязательно захватывается два соседних сустава – лучезапястный и локтевой. При переломе локтевой кости со смещением предварительно выполняют репозицию.

Хирургическое лечение переломов предплечья

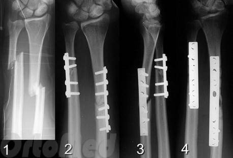
Для стабильно-функционального остеосинтеза костей предплечья применяют пластины (узкие, желобоватые, реконструктивные и малые Т-образные), малые спонгиозные, кортикальные винты, а также 8-образный серкляж.

Остеосинтез стержнями часто не обеспечивает стабильной фиксации, а введение прямого стержня в лучевую кость приводит к выравниванию физиологической кривизны лучевой кости, что ведет к нарушению ротационных движений.

При переломах локтевого отростка прочная фиксация достигается при применении метода 8-образного серкляжа, при оскольчатых переломах в ряде случаев целесообразна дополнительная фиксация малым спонгиозным винтом.


Остеосинтез локтевого отростка методом 8-образного серкляжа.

При переломе венечного отростка остеосинтез выполняют 3,5 мм винтом. Для остеосинтеза перелома головки лучевой кости применяют фиксацию малым спонгиозным винтом.


Остеосинтез головки лучевой кости и венечного отростка локтевой винтами.

При переломах диафиза и метафиза обеих костей или изолированных переломах лучевой и локтевой костей остеосинтез производят прямыми узкими, желобоватыми пластинами.


Принципы экстракортикального остеосинтеза костей предплечья.

Остеосинтез при переломах дистального отдела лучевой кости производят редко, как правило, при неудаче консервативного лечения. Для остеосинтеза применяют малую Т-образную пластину (Рис. 140).

Первый винт вводят через продолговатое отверстие в проксимальный отломок, тем самым создавая опору для дистального фрагмента. Сам отломок фиксируют компрессионным спонгиозным винтом через отверстие пластины. Рану ушивают с тщательным восстановлением квадратного пронатора. Движения в лучезапястном суставе разрешают через 3–5 дней.

В некоторых случаях остеосинтез производят спицами или спонгиозным винтом.


Остеосинтез лучевой кости в дистальном отделе

Аппарат внешней фиксации применяют при открытых переломах костей предплечья, а также при переломах дистального отдела предплечья.

При диафизарных переломах предплечья внешний фиксатор применяют как временное устройство до заживления раны мягких тканей, после чего производят внутренний остеосинтез. При закрытом остеосинтезе в исключительных случаях для анатомической репозиции можно выполнить малый разрез над линией перелома.

Вешняя фиксация при переломе лучевой кости в типичном месте.

После стабильно-функционального остеосинтеза костей предплечья обычно иммобилизация в гипсовой повязке не требуется. С первых дней после остеосинтеза назначается лечебная гимнастика направленная на восстановление функции травмированной конечности.

Болезни и вредители

Черная пятнистость

К самым часто встречающимся болезням и вредителям роз относятся:

Частая проблема, с которой сталкиваются садоводы при выращивании роз. Вызывается эта болезнь грибком Diplocarpon rosae. Развивается он при тепле и влажности. Поначалу проявления незаметные. Но при проявлении первых пятен, необходимо срочно принимать меры, потому что грибок распространяется очень быстро (споры производятся каждые 3 нед.).

Показателем поражения являются мелкие черные пятна на листве. Они постепенно вырастают. Листва сначала по краю приобретает желтый оттенок, а затем полностью желтеет и облетает. Роза гибнет.

Для излечения данного заболевания 3 раза за сезон необходимо обработать кустарник. Для этого используются препараты, в основе которых фунгицид манкоцеба или триазол. На зиму удаляется вся листва и сжигается. Почва обрабатывается средством с содержанием меди. Это поможет убить грибок, который способен пережить зиму и ожить с наступлением тепла.

Церкоспороз

Причиной болезни является грибок Cercospora rosicola. Проявляется также на листве в большом числе темных пятен. Позже они приобретают ореол фиолетового цвета, а в серединке становятся сероватыми. Далее листья отмирают.

Для лечения кустарник обрабатывается системным фунгицидом, а больные листья удаляются. При подготовке к зиме зеленая масса уничтожается, а грунт обрабатывается медьсодержащим препаратом.

После среза заболевшие части не годятся для приготовления компоста. Это большой риск для других растений.

Ржавчина

Причиной является грибок Phragmidium, развитию которого способствуют теплые и влажные погодные условия.

Проявление болезни различается. Это зависит от стадии развития грибка:

  • апрель – май – лиственная часть и побеги поражаются желто-оранжевыми наростами (бугорками), ветви становятся искривленными и иссыхают
  • июль – обратная сторона листьев покрывается мелкими ржаво-бурыми пузырьками (пустулы), затем листва приобретает желто-красный оттенок, ветви становятся толстыми, с трещинами и пылятся спорами
  • август – сентябрь – в пузырьках начинают образовываться зимние споры, а на листве проявляются черные пятна. Позже она вся осыпается

В лечебных целях части с повреждениями срезаются и уничтожаются в огне. Кустарник обрабатывается фунгицидом, а для предупреждения с приходом тепла проводится внекорневая подкормка, опрыскивание кроны. Для этого используется 0,3% растворы калийной селитры или вытяжки суперфосфата.

Для приготовления вытяжки потребуется:

  • двойной суперфосфат – 100 г
  • вода – 1 л

Суперфосфат заливается горячей водой, перемешивается и при постоянном помешивании кипятится 30 мин. Далее смесь остужается и процеживается с помощью плотной марли.

Мучнистая роса

Источником является грибок Sphaerotheca pannosa. Он хорошо развивается при условиях жаркого сухого дневного времени и прохладного влажного ночного.

Проявляется болезнь в виде сморщивания и скручивания листовых пластинок и белого налета плесени на стеблях.

Развиваться напасти не даст, если саженец высажен на участке с хорошим проветриванием. В период лечения растение не подкармливается и 2-3 раза опыляется при помощи золы. Также для обрабатывания применяется 1% бордоская жидкость, 0,4% раствор хлорокиси. Могут быть и другие фунгициды с похожим воздействием.

Бактериальный рак

Опасное заболевание, причиной которого является бактерия Agrobacterium tumefaciens. Из-за нее роза не может поглощать влагу и питательные вещества. Это ухудшает развитие. Ведет к гибели.

Попадание возбудителя происходит через ранки, образующиеся после срезки, поломки ветвей, а также от неосторожности при пересаживании. Проявляется это в виде бледных наростов

Они имеют округлую форму. Появляются в районе корневой шейки. В процессе развития наросты становятся больше в размере, жесткими и переходят на стволы и корни.

Зараженное растение не лечится. Оно выкапывается и сжигается. Почва также заражается и не может использоваться для выращивания другой растительности в течение 5 лет.

Во избежание проблем, секаторы, ножи перед процедурой срезки обрабатываются 1% раствором марганцовки. Также покупаемые саженцы внимательно осматриваются.

Вирус мозаики резухи

Не может передаваться между растениями. Метод распространения – размножение вегетативным способом. Проявляется вирус Arabis mosaic virus (ArMV) в виде мелких желтых пятен на листках, которые в дальнейшем расширяются, сформировываются в мозаичное изображение.

Заболевание не лечится. Затронутые участки срезаются, сжигаются. В предупредительных целях садовый инвентарь, используемый для обрезки и других работ, дезинфицируется.

Садовый хрущик

Данная напасть опасна для роз, многих плодово-ягодных культур, газона. Это крупный жук с блестящей спиной. Поеданию подвергаются бутончики, листва растений.

При небольшом количестве вредителя, его собирают вручную, истребляют. Все внимательно осматривается на наличие личинок. При сильном размножении используются контактные инсектицидные препараты.

Зеленая розанная тля

Также является вредителем всего сада. Представляет собой насекомое. На вид оно кажется хрупким. Имеет нежно-зеленый, бурый или черный окрас. Может высосать из розы все соки. Также является переносчиком инфекций.

Пораженные растения видны сразу. Тля облепляет листву с обратной стороны, макушки, нераспустившиеся соцветия, приводя к их деформации.

Для борьбы паразит собирается вручную, уничтожается. При большом распространении, растение обрабатывается инсектицидами.

Привлечение на садовый участок божьих коровок поможет в профилактических мерах. Они являются врагами данного насекомого.

Долгоносик

По-другому называется слоником. Вредит листьям, на которых образуются выгрызенные дугообразные дырки, а также бутонам, на лепестках которых остаются рваные дыры. Также вред наносится корневой системе. Для откладки яиц насекомое использует почки растения.

В качестве мер против вредителя, его личинки, взрослые особи собираются и уничтожаются, а крона обрабатывается инсектицидами с широким спектром воздействия.

Розанный пилильщик

Для откладывания яиц гусеница надрезает листву растения. В качестве питания используется мякоть молодых веточек. Позже они приобретают темный оттенок, высыхают. Также объедается листва растения. Это влияет на то, как оно растет, ведет к его деформации, ослабеванию.

Насекомое представляет собой бледно-зеленую гусеницу небольшого размера.

В качестве лечения поврежденные участки срезаются. Растение обрабатывается контактными инсектицидами. Перекапывание почвы под кустом в осенний период поможет уничтожить насекомых, которые устроились там на зиму.

Виды и разновидности домашних кактусов с фото — названия, описания, уход

Что нельзя делать при переломе предплечья

Категорически запрещается:

  • Прикладывать к месту раны теплый компресс, делать теплые ванночки.
  • Пытаться самостоятельно составить отломки костей.
  • Поить пострадавшего любыми напитками, содержащими алкоголь.

Нельзя фиксировать поврежденную конечность, сохраняя ее в состоянии мышечного напряжения.

Лечение

Терапия при наличии такого вида травмы может проводиться как с помощью консервативного, так и оперативного лечения. Подбор нужного метода осуществляется исходя из характера перелома, выяснения, какая кость была деформирована.

Основными задачами консервативного подхода являются:

  • Достижение целостности кости, первоначальных размеров и естественного её состояния;
  • Осуществление окончательного сращивания фрагментов и отломков кости в нужном положении;
  • Обеспечение нормального функционирования части тела.

Эти цели достигаются с помощью:

Репозиция костных отломков и фрагментов. Её легче проводить в самые первые часы после травмы, когда отёк и гематома небольшие

Вот почему так важно вовремя доставить пострадавшего в больницу. Она может осуществляться с помощью ручного или аппаратного составления их, методом вытяжения;
Временной иммобилизации конечностей, целью которой является фиксация отломков.

Все манипуляции врачом осуществляются после введения больному местной анестезии. После завершения операции, делается рентгеновский снимок. Также при консервативном подходе, часто накладывают гипсовую повязку.

Оперативная терапия заключается в полном восстановлении отломков и фрагментов костей, и соединение их между собой с использованием металлических конструкций. Некоторым больным делают костную пластику, эндопротезирование. Сращивание повреждений стимулируют анаболическими гормонами, электромагнитным полем.

Срок сращивания костей при закрытых повреждениях зависит от возраста больного, тяжести перелома, присутствия различных болезней. Он может длиться как несколько недель, так и месяцев. Чтобы быстрее восстановить здоровье пациента проводится:

  • Лечебная физкультура;
  • Физиотерапевтические процедуры;
  • Профессиональные массажные сеансы;
  • Назначается полноценное питание;
  • Рекомендуется применение специальных медицинских приспособлений, для снятия нагрузки с суставов.

Доврачебная помощь

При получении открытого или закрытого перелома у человека появляются сильные болевые ощущения в пораженной области. Чтобы снизить дискомфорт и избежать опасных последствий, пострадавшему нужно оказать помощь. Она подразумевает такие мероприятия:

Перевозка пострадавшего в сидячем положении

Важно следить за положением головы пациента.
Обезболивание конечности. Чтобы облегчить состояние человека, ему можно дать Анальгин или Нимесил

Если таблеток под рукой не оказалось, можно приложить к предплечью холод.
Иммобилизация конечности. Чтобы справиться с болью и минимизировать риск смещения отломков, стоит обездвижить руку. Для этого применяют специальную шину. Ее можно сделать из подручных средств – досок или бинтов. Важно полноценно зафиксировать конечность.
Остановка кровотечения. При нарушении целостности тканей есть риск появления сильного кровотечения. Его нужно сразу остановить. Прежде всего поврежденную зону следует обработать антисептиком. Это поможет избежать развития инфекции. Затем пораженный участок рекомендуется обернуть плотной тканью. При необходимости на 1-1,5 часа стоит наложить жгут.

Классификация и виды переломов

В зависимости от степени поражения кожных покровов выделяют открытые и закрытые переломы предплечья. Первая разновидность считается самым сложным вариантом. Она характеризуется нарушением целостности тканей и кожи. Для открытого перелома предплечья характерно наружное кровотечение.

С учетом степени сложности выделяют переломы костей предплечья со смещением или без него. Если наблюдается травма со смещением, риск осложнений значительно увеличивается. Дело в том, что костные отломки способны провоцировать поражение сосудов или нервных окончаний.

По числу пораженных костей и характеру переломов травмы бывают зигзагообразными, множественными, оскольчатыми.

С учетом расположения травмы и механизма ее появления существуют такие виды переломов:

  1. Лучевой кости в типичном месте. В такой ситуации нарушение локализуется в нижней трети. Есть 2 типа таких переломов – Коллеса и Смита. Первый вариант травмы называется сгибательным. При этом отломок кости смещается к тыльной части кисти. Второй – называют разгибательным. При этом отломок смещается к ладонной части.
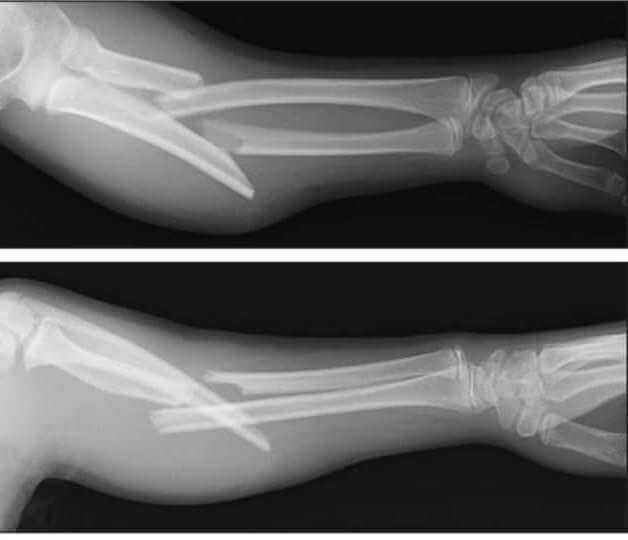
  2. Локтевой и лучевой костей. Обе кости ломаются вследствие удара или падения на прямую конечность. Практически всегда травма сопровождается смещением костных отломков. При переломе обеих костей предплечья наблюдается его деформация. Между костями имеется перепонка. При травме кости притягиваются друг к другу.
  3. Диафиза лучевой кости. Повреждение обусловлено ударами по латеральной части предплечья.
  4. Диафиза локтевой кости. Нарушение возникает в результате удара по медиальной части предплечья посторонним объектом. Иногда травма характеризуется смещением отломков.
  5. Проксимального эпифиза лучевой кости. Обычно появляется при падении на выпрямленную конечность. Повреждение кости наблюдается в районе шейки или головки кости. При этом сильно нарушается сгибание локтя и возникают проблемы с вращением предплечья кнаружи. Это обусловлено выраженной болью. Такой перелом характеризуется смещением костных элементов.
  6. Монтеджа. При этой травме страдает верхняя треть диафиза локтевой кости. Травма сопровождается вывихом головки лучевой кости. Нарушение обусловлено падением на согнутую конечность. Нередко наблюдается поражение локтевого нерва. Перелом Монтеджа бывает сгибательным и разгибательным.
  7. Галеацци. При этой травме наблюдается повреждение нижней трети лучевой кости. Для нее характерен вывих лучелоктевого сочленения. Ключевой причиной проблем становится удар каким-то предметом по области предплечья. А также травма может быть обусловлена падением на руку. При ее получении смещаются костные отломки лучевой кости вперед. При этом головка локтевой кости отклоняется вперед или назад.
  8. Венечного отростка. Повреждение можно получить при падении на прямую конечность. Травма редко бывает изолированной. Она часто сочетается с другими переломами, которые можно получить вследствие падения на руку.
  9. Локтевого отростка. Человек может получить такую травму при падении на согнутую в локте руку. А также она возможна при ударе в области предплечья. Очень редко повреждение обусловлено внезапным сокращением трехглавой мышцы. В этом случае локтевой сустав не двигается, а рука пациента – свисает.

Методы лечения переломов предплечья

Почти всегда при переломе обеих костей предплечья происходит смещение отломков с одновременным их вращением. Происходит это, зачастую в момент травмы и усугубляется ввиду тяги мышц предплечья. Это повреждение само по себе нестабильное и высок риск повторного смещения. Если бы был перелом только одной кости, это совсем другое дело и тактика лечения.

 

Но для полного анатомического восстановления и скорейшей реабилитации перелома обеих костей необходима операция – остеосинтез. Фиксацию костей во время операции можно выполнить различными металлоконструкциями: пластинами и винтами, стержнями, спицами, аппаратами Илизарова, стержневыми аппаратами.

Консервативно (т.е. без операции) такие переломы плохо поддаются лечению. Смещение по длине и ширине в закрытую устранить можно, но вот ротацию (поворот) кости вокруг своей оси – практически нереально. К тому же после репозиции (вправления) в течение всего срока нахождения в гипсе может произойти вторичное смещение ввиду тяги мышц предплечья.

Искусственные фиксаторы кости в виде пластин и стержней можно удалить через 6-18 месяцев после проведения операции. Восстановления трудоспособности пострадавшего от перелома обеих костей предплечья можно добиться через 1,5-3 месяца после операции.

Ссылка на основную публикацию
Похожее